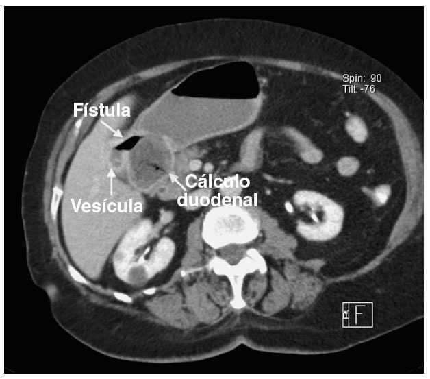
El síndrome de Bouveret es una enfermedad muy poco frecuente que afecta al aparato digestivo. Consiste en una obstrucción a nivel del estómago o el duodeno causada por un cálculo biliar de gran tamaño. El cálculo pasa al estómago o duodeno debido a la formación de una fístula colecistogastroduodenal, es decir una fístula que forma un trayecto anómalo que une la vesícula biliar con el estómago o el duodeno. El síndrome de Bouveret se considera la variedad menos frecuente de íleo biliar.[1] No debe confundirse este síndrome con la Taquicardia de reentrada del nódulo AV o enfermedad de Bouveret.
Historia
La primera descripción fue realizada en 1896 por León Bouveret, de quien el síndrome toma el nombre.
Síntomas
Los síntomas se deben a la obstrucción que no permite el vaciamiento del estómago, ocasionando distensión gástrica aguda y vómitos continuos, en ocasiones vómitos con sangre o hematemesis. La obstrucción puede ocasionar diferentes complicaciones graves, entre ellas deshidratación.
Diagnóstico
El diagnóstico de la afección es difícil debido a la escasa frecuencia del trastorno. Generalmente es necesario realizar técnicas de imagen como ecografía o resonancia magnética nuclear que descubran la situación anómala del cálculo y endoscopia digestiva.
Tratamiento
El tratamiento se basa en la extracción del cálculo, bien mediante cirugía o a través de endoscopia cuando es posible.
Referencias



![]()
